Cáccách trị viêm chân răng tại nhà!
1. Viêm chân răng là gì?
Viêm chân răng là tình trạng các bộ phận xung quanh răng bị sưng viêm.
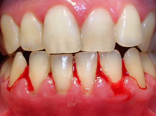
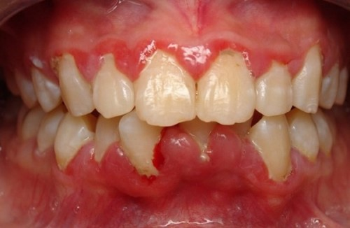
Dấu hiệu ban đầu là chân răng có hiện tượng bị viêm, sưng đỏ, một số biểu hiện khác đi kèm như hôi miệng, nặng hơn là xuất hiện những túi mủ xung quanh chân răng.
Viêm chân răng được chia thành 2 loại: Viêm chân răng mạn tính và viêm chân răng cấp tính.
Viêm chân răng cấp tính gây cảm giác cơn đau nhức kéo dài hoặc ngắn, tùy thuộc vào cơ địa, tình trạng sức khỏe răng miệng của từng người. tình trạng đau này chỉ kéo dài trong 1 khoảng thời gian rồi biến mất nên mọi người thường lầm tưởng bệnh đã khỏi. Tuy nhiên nếu không điều trị kịp thời, viêm răng có thể gây rụng răng.
Viêm chân răng mạn tính là tình trạng viêm chân răng kéo theo những cảm giác đau đớn, khó chịu liên tục trong một khoảng thời gian dài. Cơn đau này không tập trung duy nhất trên một chiếc răng mà có lan tỏa sang các răng liền kề nên bệnh nhân khó có thể xác định vị trí viêm chân răng chính xác.
Khi viêm chân răng khi ở mức độ nghiêm trọng, tình trạng viêm nhiễm sẽ hình thành các ổ mủ. Khi đó, người ta gọi tình trạng này là viêm chân răng có mủ, gây đau nhức cho người mắc.

Khi chân răng bị viêm có mủ, người bệnh sẽ có các tình trạng:
- Đau nhức răng do phần lợi quanh răng bị sưng tấy, đỏ, có mủ, vi khuẩn hoạt động mạnh khiến chân răng và có thể là thân răng bị tổn thương.
- Sốt cao, sốt kéo dài do cơ thể nhiễm trùng khiến lượng bạch cầu trong máu hoạt động mạnh hơn.
- Cảm giác đau nhức tăng lên khi ấn nhẹ tay vào má hoặc khi ăn nhai, hoạt động cơ miệng
- Cảm nhận thấy vị đắng do ổ mủ chân răng tạo nên.
- Có hiểu hiện nổi hạch ở cổ, do đau nhức răng gây nên
- Thậm chí, khi các ổ viêm phát triển mạnh có thể khiến chân răng bị chảy máu nghiêm trọng.
2. Nguyên nhân gây viêm chân răng

Do vệ sinh răng miệng không đúng cách khiến thức ăn thừa hình thành mảng bám, trở thành nơi vi khuẩn trú ngụ sinh bệnh.
Do 1 số bệnh lý răng miệng như viêm nha chu, viêm tủy răng.
Thói quen ăn đồ ngọt, đồ có tính axit khiến lớp men răng bị phá hủy, dễ dẫn đến sâu răng, viêm lợi, viêm chân răng.
Viêm chân răng ở mức độ nghiêm trọng sẽ hình thành các ổ mủ. Nếu không điều trị kịp thời, bệnh có thể gây mất răng, nhiễm trùng huyết, thậm chí là nguy hiểm đến tính mạng.
Để xử lý viêm chân răng khi đã xuất hiện mủ, tốt nhất người bệnh nên đến phòng khám nha khoa để bác sĩ kiểm tra và điều trị. Bằng cách:
- Chỉ định sử dụng thuốc kháng sinh, kháng viêm để xử lý các ổ viêm, nhiễm trùng quanh răng.
- Sử dụng thuốc giảm đau, hạ sốt, giảm sưng để làm giảm đau nhức
- Hút mủ, lấy dị vật mắc ở lợi hoặc chân răng để loại bỏ ổ viêm nhiễm.
- Lấy cao răng, nạo sạch chất bám bẩn quanh lợi và tủy răng.
- Cắt cuống răng để loại bỏ phần viêm nhiễm ở khu vực áp xe.
Trong trường hợp viêm nhiễm nặng, ở mức độ rộng và phá hủy lớn đến kết cấu răng thì bác sĩ sẽ chỉ định nhổ để bảo toàn cho các răng khác. Sau khi nhổ và điều trị dứt điểm tình trạng viêm nhiễm, bác sĩ sẽ tiến hành trồng răng để ngăn ngừa những tác hại của việc mất răng gây ra.
3. Cách trị viêm chân răng tại nhà
Dưới đây là những cách trị viêm răng tại nhà đơn giản, hiệu quả để tham khảo.
- Trị viêm chân răng tại nhà với muối
Muối là nguyên liệu dễ kiếm, hiệu quả cao. Muối có tác dụng khử trùng, chống viêm hiệu quả, có khả năng làm lành vị trí lợi đã viêm, đồng thời làm suy giảm sự nhiễm khuẩn và còn cải thiện mùi hôi miệng hiệu quả.
Để có thể chữa viêm chân răng tại nhà bằng muối, chỉ cần sử dụng muối pha với nước ấm tạo thành dung dịch loãng.
Súc miệng với hỗn hợp này trong vòng 30 giây, sau đó làm sạch khoang miệng lại bằng nước sạch. Duy trì phương pháp này khoảng 2 – 3 lần/ngày để đem lại hiệu quả tốt nhất.
- Chữa viêm chân răng tại nhà với chanh
Nhiều nghiên cứu đã chỉ ra rằng, trong thành phần của chanh có chứa các chất với tác dụng kháng khuẩn, ngừa viêm giúp giảm tình trạng nhiễm trùng nướu, chân răng. Vitamin C trong chanh có tác dụng tăng cường sức đề kháng cho cơ thể.
Thực hiện:
Chuẩn bị một quả chanh, sau đó vắt lấy nước cốt rồi đem trộn cùng một ít muối. Đem hỗn hợp bôi trực tiếp lên vị trí viêm chân răng, để khoảng 5 phút rồi súc miệng lại bằng nước sạch.
- Chữa viêm chân răng tại nhà bằng gừng
Trong thành phần của gừng có chứa các hợp chất kháng khuẩn, chống viêm giúp giảm đau, tiêu sưng.

Thực hiện:
Bước 1: Chuẩn bị một vài củ gừng, cạo sạch sau đó thái thành từng miếng mỏng.
Bước 2: Bỏ gừng đã thái vào trong nước sôi, hãm nước trong khoảng thời gian từ 15 – 20 phút.
Bước 3: Sử dụng hỗn hợp này pha loãng nước để súc miệng từ 2 – 3 lần/ngày. Không nên súc miệng nhiều hơn để tránh gây nóng cơ thể.
- Chữa viêm chân răng với tỏi
Tỏi được coi là bài thuốc chữa viêm chân răng rất tốt được áp dụng trong những bài thuốc dân gian. Với thành phần kháng sinh đặc hiệu cùng khả năng tiêu sưng, tỏi còn được áp dụng phổ biến trong việc điều trị thuốc nam.
Sử dụng vài nhánh tỏi, đem giã nhuyễn rồi trộn với vài hạt muối, sau đó đem đắp trực tiếp lên vị trí viêm chân răng, cơn đau nhức sẽ huyên giảm một cách đáng kể.
- Chữa viêm chân răng tại nhà với hoa cúc

Trong các bài thuốc Đông y, hoa cúc được cho là một loại dược liệu có tính mát, khả năng thanh lọc, thanh nhiệt cho cơ thể. Vì vậy hoa cúc cũng là bài thuốc dân gian chữa viêm chân răng
Thực hiện:
Bước 1: Chuẩn bị một nắm hoa cúc rửa sạch rồi để ráo nước.
Bước 2: Đổ 300ml nước sôi hãm với hoa cúc trong khoảng thời gian 20 phút.
Bước 3: Sử dụng nước hoa cúc súc miệng 2 lần trong một ngày, khi thức dậy và trước khi đi ngủ, kiên trì sử dụng trong một khoảng thời gian, tình trạng viêm chân răng sẽ thuyên giảm hiệu quả.
Với các phương pháp trên, bạn có thể cải thiện tình trạng viêm chân răng tại nhà. Tuy nhiên, nếu tình trạng viêm nhiễm trở nên nghiêm trọng, hãy đến Nha Khoa Quốc Tế Tuệ Minh để được bác sĩ chuyên khoa tư vấn và điều trị kịp thời.
