Nên Dán Răng Sứ Hay Bọc Răng Sứ?
Bọc răng sứ và dán sứ Veneer đều được sử dụng phổ biến để cải thiện tính thẩm mỹ cho răng, giúp mang đến hàm răng đều đặn và trắng sáng hơn. Tuy nhiên, mỗi phương án lại có sự khác biệt về cấu tạo, kỹ thuật thực hiện, tính thẩm mỹ và trường hợp được chỉ định. Cùng tìm hiểu kỹ hơn trong bài viết dưới đây, để tìm ra phương án phù hợp với mình nhé!
1. Sơ lược về dán răng sứ và bọc sứ
Nếu khách hàng đang tìm hiểu về các phương pháp để khắc phục những khuyết điểm răng miệng, thì sẽ biết đến bọc răng sứ và dán răng sứ không mài răng. Đây là 2 kỹ thuật nha khoa phổ biến, được áp dụng để mang lại hàm răng trắng sáng, đều đặn và chuẩn khớp cắn.
Sau đây, hãy cùng tìm hiểu cụ thể hơn về cách thực hiện của dán sứ và bọc sứ.
1.1 Bọc răng sứ là gì?

Bọc răng sứ là giải pháp phục hình thẩm mỹ cho răng đã quá quen thuộc. Để thực hiện, bác sĩ sẽ tiến hành mài chỉnh tất cả các bề mặt của răng thật và tạo thành cùi răng. Thông thường, tỷ lệ mài răng khi bọc sứ thường dưới 2mm.
Sau đó, một mão răng sứ được phục hình cố định lên trên cùi răng và ôm khít lấy nướu. Răng sứ sẽ có hình dáng, màu sắc và chức năng giống như răng thật.
1.2 Dán răng sứ là gi?

Mặt dán sứ Veneer là phương án làm đẹp răng hiện đại, được cải tiến từ bọc răng sứ. Với kỹ thuật này, bác sĩ chỉ cần mài một lớp rất mỏng trên bề mặt răng, khoảng 0.2 – 0.5mm. Thậm chí có những trường hợp không cần phải mài răng.
Mặt sứ siêu mỏng sau khi gắn cố định lên răng hoàn toàn không gây cộm cận, khó chịu. Đồng thời, còn giúp hạn chế được các mảng bám cao răng và ngăn chặn sự tấn công của các loại vi khuẩn có hại.
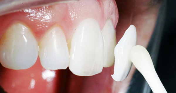
2. So Sánh sự khác biệt chủ yếu giữa dán sứ và bọc sứ được thể hiện như sau:
| Tiêu chí đánh giá | Dán sứ Veneer | Bọc răng sứ |
|---|---|---|
| Đặc điểm kỹ thuật | Bác sĩ chỉ mài một lớp mỏng ở mặt ngoài của răng. Đây cũng là vị trí răng veneer được dán vào. | Bác sĩ mài phần lớn mô răng thật đến khi đạt yêu cầu để chụp mão sứ lên trên. |
| Hình ảnh minh họa | ![]() |
![]() |
| Độ dày phục hình | 0.3 – 0.5 mm. | 0.6 – 2 mm. |
| Vật liệu | 100% toàn sứ. | Toàn sứ hoặc sứ kim loại. |
| Mục đích điều trị | Khắc phục hiệu quả tình trạng răng nhiễm màu nhẹ, hình dáng răng to nhỏ bất tương xứng, răng bị sứt mẻ, thưa kẽ hoặc men răng mòn đi theo thời gian. | Xử lý tình trạng răng sâu nặng đã hư tủy, điều trị tủy cần bọc mão sứ để đảm bảo chức năng ăn nhai và thẩm mỹ. Răng vỡ lớn, xoay lệch nhẹ 1 răng, có thể kết hợp tạo cầu cho răng bị mất… |
| Độ bền | Độ bền của hai phương pháp tương đương nhau, nếu như được làm đúng kỹ thuật ở phòng khám uy tín và được chăm sóc bảo dưỡng tốt. | |
3. Vậy dán sứ hay bọc sứ tốt hơn?
Dán sứ hay bọc răng sứ tốt hơn còn tùy thuộc vào rất nhiều yếu tố như: tình trạng răng, yêu cầu về thẩm mỹ, mức độ ăn nhai và khả năng tài chính của khách hàng. Tuy nhiên, trong trường hợp răng còn khỏe mạnh, không hư tủy, không vỡ lớn thì mặt dán sứ veneer là giải pháp tối ưu vừa thẩm mỹ vừa bảo tồn răng tự nhiên. Hiện nay dán sứ veneer đang là xu hướng mới được nhiều người lựa chọn.
Để có kết quả toàn diện, bạn cần cân nhắc thật kỹ về 2 yếu tố lựa chọn bác sĩ và địa chỉ nha khoa tin cậy trước khi điều trị.


