NHA KHOA QUỐC TẾ TUỆ MINH - NƠI BẮT ĐẦU NỤ CƯỜI HẠNH PHÚC

Hotline 1800 0040

nhakhoaquoctetueminh.com

Hotline 1800 0040

Tác Hại Của Việc Không Nhổ Răng Sâu?

author-avatar

Admin

22/07/2025

Share

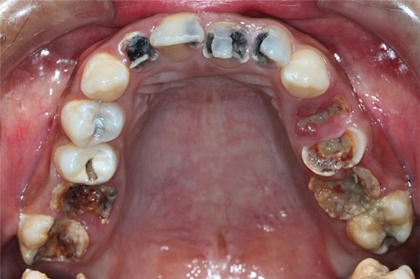
Tác hại của việc không nhổ răng sâu?

Việc quyết định có nên nhổ răng sâu hay không là một câu hỏi mà nhiều người đặt ra khi phát hiện vấn đề này. Tuy nhiên, việc không nhổ răng sâu có thể dẫn đến những tác hại đáng ngại đối với sức khỏe răng miệng và tổng thể của bạn.

  1. Đau đớn và viêm nhiễm: Răng sâu khi không được nhổ sớm có thể gây ra đau đớn và viêm nhiễm nghiêm trọng. Vi khuẩn từ sâu răng có thể xâm nhập sâu vào trong tủy răng và mô xung quanh, gây ra viêm tủy và viêm nha chu. Đây là nguyên nhân chính dẫn đến đau đớn, sưng phù và trong những trường hợp nặng hơn có thể gây hư hỏng và mất răng.
  2. Lây nhiễm và lan rộng: Nếu không điều trị kịp thời, vi khuẩn từ răng sâu có thể lan sang các răng khác gần đó, gây ra tình trạng sâu răng ở các răng láng giềng. Điều này không chỉ làm gia tăng chi phí điều trị mà còn ảnh hưởng đến sự thoải mái và sức khoẻ tổng thể của bạn.
  3. Mất răng và ảnh hưởng đến chức năng nhai: Răng sâu nếu không được nhổ và điều trị có thể dẫn đến mất răng. Mất răng sẽ ảnh hưởng không chỉ đến thẩm mỹ mà còn ảnh hưởng đến chức năng nhai và nói, cũng như gây ra những vấn đề phức tạp hơn như sụt hàm.

Tuy nhiên, quyết định nhổ răng sâu hay không còn phụ thuộc vào nhiều yếu tố như mức độ tổn thương của răng, vị trí và tình trạng sức khỏe tổng thể của bạn. Để có quyết định đúng đắn và phương pháp điều trị phù hợp, việc tham vấn và chẩn đoán từ các chuyên gia nha khoa là điều cần thiết.

Có nên nhổ răng hàm bị sâu không?

Có nên nhổ răng hàm bị sâu hay không phụ thuộc vào nhiều yếu tố, và thường cần sự đánh giá kỹ lưỡng từ các chuyên gia nha khoa. Dưới đây là một số yếu tố cần cân nhắc khi đưa ra quyết định:

  1. Mức độ tổn thương của răng: Nếu răng bị sâu nhẹ và chỉ ảnh hưởng tới lớp men răng (sâu vỏ), thì có thể sử dụng phương pháp điều trị nhỏ hơn như lấp phủ composite, điều trị tại nhà để giữ lại răng tự nhiên.
  2. Sâu răng và tình trạng tủy răng: Nếu sâu răng đã lan rộng vào tủy răng và gây viêm nhiễm, thường cần thực hiện điều trị nhổ răng để ngăn ngừa sự lây lan nhiễm sang các răng khác và các mô xung quanh.
  3. Tình trạng sức khỏe tổng thể của bạn: Nếu bạn có các vấn đề sức khỏe như bệnh tim mạch, nhiễm trùng hoặc hệ miễn dịch suy yếu, việc nhổ răng có thể cần được thực hiện để tránh các biến chứng nghiêm trọng.
  4. Vị trí và vai trò của răng: Răng sâu ở các vị trí không quan trọng cho chức năng nhai hoặc thẩm mỹ có thể được giữ lại bằng các phương pháp điều trị bảo vệ răng.
  5. Tuổi tác và dự đoán dài hạn: Những người già hoặc những trường hợp răng bị sâu nặng, dễ tái phát nhiều lần có thể cần phải nhổ răng để giữ gìn sức khỏe răng miệng lâu dài.

Trước khi quyết định nhổ răng, bạn nên tham khảo ý kiến ​​của nha sĩ để được tư vấn cụ thể và lựa chọn phương pháp điều trị phù hợp nhất.

Nha khoa quốc tế Tuệ Minh luôn sẵn sàng cung cấp các dịch vụ chăm sóc răng miệng chuyên nghiệp và hiện đại, đồng thời đưa ra những lời khuyên hữu ích giúp bạn duy trì và nâng cao sức khỏe răng miệng một cách toàn diện. Hãy liên hệ với chúng tôi ngay hôm nay để được tư vấn và điều trị tốt nhất cho vấn đề răng sâu của bạn.

 

Đánh giá bài viết

Share

HỆ THỐNG NHA KHOA QUỐC TẾ TUỆ MINH

Địa chỉ: Ấp Long Thành, thị trấn Phước Long, huyện Phước Long, Bạc Liêu

Xem bản đồ

Hotline: 056 891 0222

Địa chỉ: Số 2 - 4 - 6 Hoàng Văn Thụ, Phường 3, Bạc Liêu

Xem bản đồ

Hotline: 0291.3898.699

Địa chỉ: Số 137 Hàn Thuyên, TT. Thứa, Lương Tài, Bắc Ninh

Xem bản đồ

Hotline: 0222.6513.888

Địa chỉ: Số 2 Trưng Nhị, Phường 2, TP. Cà Mau, Cà Mau

Xem bản đồ

Hotline: 1800 0040

Địa chỉ: Số 291 P. Huế, Phố Huế, Hai Bà Trưng, Hà Nội, Vietnam

Xem bản đồ

Hotline: 1800 0040

Địa chỉ: Số 125 Phạm Ngũ Lão, P. Phạm Ngũ Lão, Hải Dương

Xem bản đồ

Hotline: 0220.3859.588

Địa chỉ: Số 4 Nguyễn Trung Trực, Vĩnh Bảo, Rạch Giá, Kiên Giang

Xem bản đồ

Hotline: 0297.3900.936

Địa chỉ: 272 Trần Đăng Ninh, Phường Hoàng Văn Thụ, TP. Lạng Sơn

Xem bản đồ

Hotline: 1800 0040

Địa chỉ: Số 56 Lương Văn Thăng, phố Hoè Thị, thị trấn Nho Quan, Ninh Bình

Xem bản đồ

Hotline: 092 569 51 11

Địa chỉ: Số 186 Vân Giang, Thanh Bình, Ninh Bình

Xem bản đồ

Hotline: 0229.3891.888

Địa chỉ: Số 11-13 Lê Lợi, Phường 6, TP. Sóc Trăng, Tỉnh Sóc Trăng

Xem bản đồ

Hotline: 0299.3826899

Địa chỉ: Số 3-5 Đường 30 Tháng Tư, P.1, TP.Vĩnh Long

Xem bản đồ

Hotline: 0270.386.3939