Tìm Lại Chiếc Răng Bị Mất Chỉ Sau 48h Tại Nha Khoa Quốc Tế Tuệ Minh!
Mất răng, đặc biệt là răng cửa, không chỉ gây khó khăn trong việc ăn nhai mà còn làm giảm đi sự tự tin trong giao tiếp. Tình trạng mất răng còn kéo theo nhiều vấn đề thẩm mỹ và sức khỏe răng miệng. Tại Nha Khoa Quốc Tế Tuệ Minh, chúng tôi hiểu được tầm quan trọng của việc phục hồi răng nhanh chóng và hiệu quả, mang lại nụ cười trọn vẹn chỉ sau 48h.
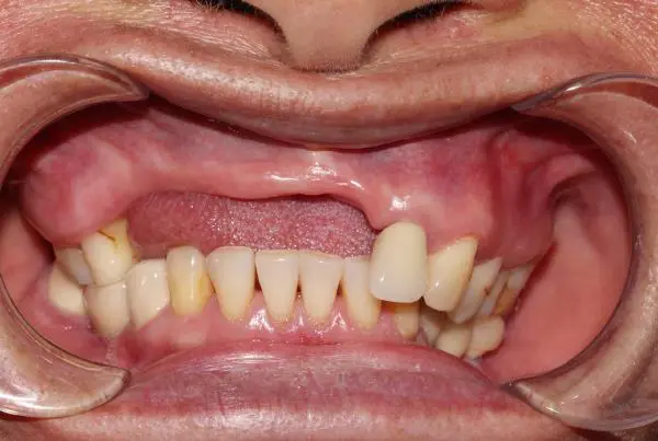
Trường Hợp Khách Hàng: Mất 2 Răng Cửa + R4

Một khách hàng đã đến với Tuệ Minh trong tình trạng:
- Mất 2 răng cửa và răng số 4 (R4).
- Răng xỉn màu, khấp khểnh và lệch lạc.
- Hình thể răng không đều, ảnh hưởng đến tổng thể nụ cười.
Đây là một trường hợp khá phức tạp, khi việc mất răng không chỉ tác động đến khả năng ăn nhai mà còn gây mất tự tin trong giao tiếp. Tuy nhiên, với sự can thiệp của đội ngũ chuyên gia tại Nha Khoa Quốc Tế Tuệ Minh, chúng tôi đã đưa ra giải pháp tối ưu cho khách hàng.
Giải Pháp Phục Hồi: Bắc Cầu Răng Sứ & Bọc Sứ Toàn Hàm
Để khắc phục tình trạng mất răng và các khuyết điểm của hàm răng, chúng tôi đã thực hiện bắc cầu răng sứ tại vị trí răng bị mất và bọc sứ toàn hàm để cải thiện hình dáng, màu sắc và sắp xếp lại các răng không đều.
Bắc cầu răng sứ là giải pháp hoàn hảo giúp thay thế những răng bị mất một cách tự nhiên, bền chắc và có tuổi thọ lâu dài. Cùng với việc bọc sứ toàn hàm, không chỉ các răng mất được phục hồi mà tổng thể hàm răng của khách hàng cũng trở nên đều đặn, trắng sáng và thẩm mỹ hơn.
Ưu Điểm Của Giải Pháp Tại Tuệ Minh:
- Thời gian nhanh chóng: Chỉ sau 2 lần hẹn trong vòng 48h, khách hàng đã hoàn thiện nụ cười mới với hàm răng đều đẹp, chắc khỏe.
- Độ bền cao: Với chất liệu sứ cao cấp, răng sứ có độ bền vững lên đến trọn đời nếu được chăm sóc đúng cách.
- Tính thẩm mỹ vượt trội: Hàm răng sau khi phục hình không chỉ đều đặn mà còn mang lại nụ cười rạng rỡ, tự tin.
Lời Cảm Ơn Đến Khách Hàng
Chúng tôi vô cùng cảm ơn chú đã tin tưởng và lựa chọn Nha Khoa Quốc Tế Tuệ Minh là nơi gửi gắm nụ cười của mình. Việc hoàn thiện nụ cười không chỉ giúp chú cải thiện sức khỏe răng miệng mà còn giúp chú tự tin hơn trong cuộc sống hàng ngày.
Hy vọng chú sẽ luôn chăm sóc và giữ gìn hàm răng đúng cách để nụ cười luôn tỏa sáng, rạng rỡ và tự tin!
Nếu bạn cũng đang gặp phải tình trạng mất răng hay có những vấn đề về thẩm mỹ răng miệng, đừng ngần ngại liên hệ ngay với Nha Khoa Quốc Tế Tuệ Minh để được tư vấn và trải nghiệm dịch vụ phục hồi răng sứ chất lượng cao trong thời gian ngắn nhất!