TỰ TIN VỚI NỤ CƯỜI TRẮNG SÁNG – TẠI SAO KHÔNG?
Bạn muốn nụ cười tỏa sáng, rạng rỡ hơn? Bạn e ngại những vết ố vàng do cà phê, trà, hoặc thực phẩm để lại? Đừng lo lắng! Dịch vụ tẩy trắng răng tại Nha Khoa Quốc Tế Tuệ Minh sẽ giúp bạn sở hữu nụ cười tự tin chỉ trong thời gian ngắn.
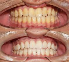
Tẩy trắng răng là gì?
Tẩy trắng răng là phương pháp sử dụng hóa chất và ánh sáng để cải thiện tình trạng răng ố vàng, mất màu, xỉn màu mà không gây tổn hại đến men răng. Phương pháp này có thể thực hiện tại các cơ sở y tế hoặc tại nhà. Tuy nhiên, để đảm bảo an toàn và hiệu quả, bạn nên thực hiện tại các cơ sở uy tín như Nha Khoa Quốc Tế Tuệ Minh.

Tẩy trắng răng có tốt không?
Tẩy trắng răng là một phương pháp an toàn và hiệu quả để cải thiện vẻ ngoài của hàm răng, mang lại nụ cười sáng khỏe và tự tin. Tẩy trắng răng có thể cải thiện tình trạng răng bị ố vàng, mất màu do tuổi tác, thực phẩm, hoặc thói quen vệ sinh răng miệng. Khi thực hiện đúng cách, phương pháp này không gây tổn hại đến men răng hoặc cấu trúc răng.
Tuy nhiên, để đảm bảo kết quả tốt nhất và an toàn tuyệt đối, bạn nên tham khảo ý kiến của nha sĩ chuyên nghiệp trước khi quyết định. Tẩy trắng răng cần được điều chỉnh phù hợp với tình trạng sức khỏe răng miệng của mỗi người. Vì vậy, bạn không nên tự ý sử dụng các sản phẩm tẩy trắng không rõ nguồn gốc tại nhà.
Khi nào nên và không nên tẩy trắng răng?

1. Khi nào nên tẩy trắng răng? Tẩy trắng răng phù hợp với những trường hợp sau:
- Người trên 16 tuổi, có răng khỏe mạnh và nhu cầu làm trắng răng.
- Răng bị sậm màu, xỉn màu do tuổi tác, thực phẩm, hoặc thói quen vệ sinh không đúng.
- Răng có đốm vàng, nâu gây mất thẩm mỹ.
- Răng bị nhiễm màu do hóa chất hoặc tác dụng phụ của thuốc.
2. Khi nào không nên tẩy trắng răng? Dưới đây là những trường hợp không nên tẩy trắng răng:
- Người dưới 16 tuổi, vì thuốc tẩy trắng có thể gây kích ứng tủy và làm răng nhạy cảm.
- Người có men răng yếu hoặc đang mắc các bệnh về răng miệng như sâu răng, viêm nướu, tụt nướu, răng nhạy cảm.
- Người dị ứng với thành phần trong thuốc tẩy trắng răng.
- Người đã thực hiện dán veneer, bọc răng sứ hay trồng răng implant.
- Phụ nữ đang mang thai hoặc cho con bú không nên tẩy trắng răng.
Lợi ích khi tẩy trắng răng tại Nha Khoa Quốc Tế Tuệ Minh:

- Công nghệ hiện đại: Sử dụng công nghệ tẩy trắng tiên tiến, an toàn, giúp răng trắng sáng vượt trội mà không gây hại đến men răng.
- Liệu trình cá nhân hóa: Chúng tôi sẽ tư vấn và điều chỉnh liệu trình tẩy trắng phù hợp với từng khách hàng, đảm bảo hiệu quả tối ưu.
- An toàn cho men răng: Quy trình tẩy trắng răng tại Nha Khoa Quốc Tế Tuệ Minh không gây ê buốt, đảm bảo an toàn tuyệt đối cho sức khỏe răng miệng.
- Hiệu quả lâu dài: Sau liệu trình tẩy trắng, răng của bạn sẽ duy trì độ trắng sáng lâu dài nếu kết hợp với chế độ chăm sóc răng miệng đúng cách.
Đặt lịch ngay để sở hữu nụ cười trắng sáng vượt trội!
Hãy đến với Nha Khoa Quốc Tế Tuệ Minh để được trải nghiệm dịch vụ tẩy trắng răng chất lượng, an toàn và hiệu quả. Chúng tôi luôn đồng hành cùng bạn trong hành trình hoàn thiện nụ cười và nâng cao tự tin.
Sở hữu nụ cười rạng rỡ, tự tin mỗi ngày – Tại sao không?
